IIIa classe dento-scheletrica trattata con maschera di Petit
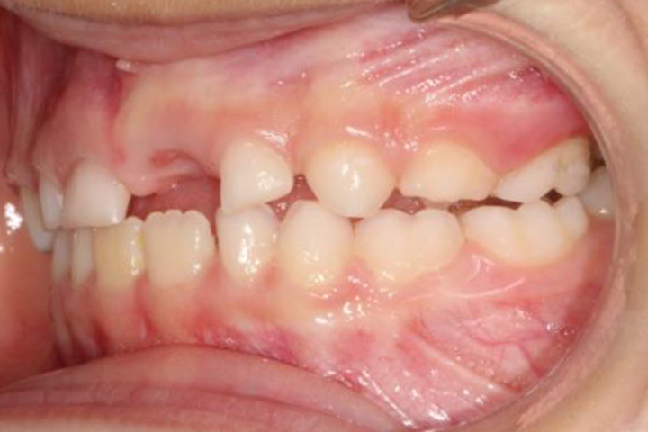
Maddy è una bimba di 5 anni che si presenta con una terza classe dento-scheletrica (indice di wits – 7 mm).
È stata trattata per 10 mesi con espansione ortodontica (leaf expander) e maschera di Petit, correggendo la malocclusione durante l’ultima fase della dentatura decidua.
È stata poi seguita senza nessun altro trattamento fino al termine della permuta.




















