Canini inclusi palatalmente
Lewis è un ragazzo di 15 anni con discromia dell’incisivo centrale superiore di destra per pregresso trauma. Una CBCT, prescritta altrove, individua l’esatta posizione dei canini inclusi palatalmente.
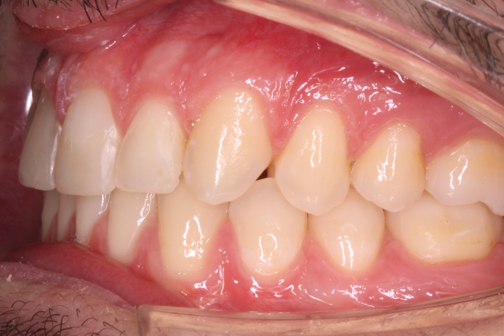
All’interno di una cornice scheletrica equilibrata l’occlusione presenta rapporti di I° classe a sinistra, tendente alla II° a destra, con morso coperto anteriore e persistenza dei canini decidui.
Trattato una decina d’anni or sono si è intervenuti dopo esposizione chirurgica ad aggancio di due elementi tramite bottoni, legature metalliche ed elastico.
Riportati i canini all’interno dell’arcata l’occlusione è stata strutturata con apparecchiature fisse; il ricorso a resine composite ha migliorato l’estetica dell’incisivo traumatizzato.























